![]()
脳神経外科
診療内容
主な対象疾患
地域の医療機関の皆様へ
外来担当・スタッフ紹介当科は、日本脳神経外科学会専門医認定制度による指定訓練施設に認定されており、脳神経外科全般について診療を行っています。脳血管障害、脳腫瘍、頭部外傷、正常圧水頭症、頭痛、てんかんなどの診断と治療を中心に行っています。
専門医制度と連携したデータベース事業について
当科では「一般社団法人 日本脳神経外科学会」研究協力病院として「Japan Neurosurgical Database(JND)」に参加しています。
本事業の詳細については以下をご覧下さい。
関連リンク
脳血管障害
脳血管障害は出血性脳血管障害(脳内出血、クモ膜下出血など)と閉塞性脳血管障害(脳血栓症、脳塞栓症など)に大きく分かれます。当院ではどちらの血管障害にも対応できるよう診療に当たっており、神戸大学と協力して血管内治療にも力を入れています。
急性脳血管障害
脳梗塞はtPA治療による超急性期治療など、くも膜下出血に対しては開頭術あるいは血管内手術、脳出血に対しては開頭術あるいは定位的血腫吸引術など、急性脳血管障害に対して速やかな診断と治療を行っています。
急性期治療後は早期からのリハビリテーションを開始し、病状が安定すれば、近隣の回復期リハビリテーション病院と連携してシームレスな慢性期治療への移行をすすめています。
脳梗塞
脳梗塞は脳を栄養する血管(動脈)が閉塞することにより脳細胞が死滅し症状を来たす病気で、原因により「アテローム血栓性脳梗塞」、「心原性脳塞栓症」、「ラクナ梗塞」に分類されます。
MRIアテローム血栓性脳梗塞
MRI心源性脳塞栓症
くも膜下出血
くも膜下出血の例です。頭痛で発症しましたがすぐには医療機関を受診せず数日経過してからの診断となりました。出血量が少なくまた再出血がなかったために血管内手術で完治することができました。突然の頭痛の場合にはすぐに医療機関を受診して診断を受けることが大切です。
慢性期脳血管障害
脳血管障害の慢性期では、危険因子(高血圧、糖尿病、脂質異常症、喫煙など)の管理を行います。進行性の頸部内頸動脈狭窄症や高度狭窄に関してはステント留置術を行って脳梗塞の再発を予防してゆきます。診断はMRI/MRA、頚動脈エコー、造影CT(CTアンギオ)にて行います。
MRA
CTアンギオ
ステント留置後
未破裂脳動脈瘤
未破裂脳動脈瘤に関しては正確な画像診断を行い、日本脳神経外科学会のガイドラインに従い開頭術、血管内手術などに対応しております。
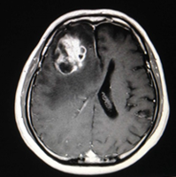
脳腫瘍
脳腫瘍は病理学的には多数の種類が発生することが知られていますが、主に脳組織から発生する原発性脳腫瘍、他の腫瘍が脳に転移する転移性脳腫瘍に分類されます。
原発性脳腫瘍
原発性脳腫瘍の代表的なものは脳実質から発生するグリオーマと脳の膜から発生する良性の髄膜腫、神経鞘腫、下垂体腺腫などがあります。どの部位にどれくらいの大きさの腫瘍が存在するかにより病態は大きく変わります。MRIを用いた正確な診断が必要となります。グリオーマは悪性腫瘍のことが多く、可及的な腫瘍の摘出と放射線治療、化学療法の併用を必要とします。
手術前
手術後
転移性脳腫瘍
転移性脳腫瘍は、肺癌、大腸癌、胃癌、乳癌など悪性腫瘍が頭蓋内に転移して発症します。既に癌の診断がなされ治療を開始している時に発症することが多いのですが、転移巣の症状(頭痛、嘔気、歩行障害、失語、高次脳機能障害や急速に進行する認知症症状など)で発症し、脳腫瘍の手術後にはじめて癌と診断されることがあります。頭部の精査と速やかな全身の検索が必要です。
頭部外傷
頭部外傷は緊急の診断と治療を要することが多く、頭蓋骨骨折、脳挫傷、急性硬膜外血腫、急性硬膜下血腫などが知られています。しかし受傷後1-3か月程度経過してから脳表に血腫が貯留する慢性硬膜下血腫という病態があります。受傷機転もしりもちをついたとか皮下血腫ができた程度の軽微なものが多く見逃されがちです。頭痛や歩行障害、認知症などの多彩な症状が出現します。脳萎縮が強い高齢者に多く、またバイアスピリンなどの抗血小板剤やワーファリンなどの抗凝固剤を内服している場合や、人工透析をおこなっている場合も慢性硬膜下血腫を起こしやすいので注意が必要です。頭部CTで容易に診断が可能です。

血腫が少量の場合は自然消退することもあります。その場合、漢方薬の五苓散が有効なことがあり、当院でも使用しています。ただ、通常は徐々に増加することが多く、手術が必要となります。特にすでに症状を来たしている場合は急に進行することがあるため、すぐに手術を行う必要があります。
特発性正常圧水頭症
高齢者にみられる認知症、歩行障害、尿失禁を主症状として発症することの多い特発性正常圧水頭症に対して当院では詳細な画像診断を元に歩行障害や認知症の評価を行っています。アルツハイマー型認知症やパーキンソン病として治療されている中にはこの特発性正常圧水頭症と考えらえる病態が混在していることが多く、正確な診断と治療がなされていない場合があります。
特発性正常圧水頭の三徴候
歩行障害(小刻み、よちよち歩き)
認知症
尿失禁
髄液排出試験による歩行や認知機能の改善を検査し、シャント術の適応を判断しています。治療は脳室腹腔短絡術あるいは腰椎腹腔短絡術を行っています。
腰椎腹腔短絡術
脳室腹腔短絡術
手術前
手術後
頭痛専門外来
当院では頭痛外来を開設しており、頭痛学会専門医による国際頭痛分類に準拠した診断を行っています。
片頭痛などの慢性頭痛などに対しては、頭痛ダイアリーを利用して適切な頭痛の治療を行っています。また片頭痛発作が頻回の方には予防薬の投与を行い、在宅自己注射による治療や症状を悪化させない生活面での指導などを行っております。
三叉神経・自律神経性頭痛は群発頭痛や発作性片側頭痛などが含まれます。まれな頭痛であり正しく診断されないことが多いようですが、生活への支障度は高くこれらに対しても正確な診断と治療を行っています。
MRIなどによる二次性頭痛の鑑別だけでなく、鎮痛剤の過剰投与による薬物乱用頭痛など日常診療で診断や治療に難渋する頭痛などを扱っています。
画像診断で異常がなくてもつらい慢性の頭痛を軽減するように工夫していますので気軽にご相談ください。
診療実績
| 2024年度入院 | 2024年度手術 | |
|---|---|---|
| 脳腫瘍 | 6 | 1 |
| 脳血管障害 | 117 | 8 |
| 血管内手術 | 19 | 19 |
| 頭部外傷 | 71 | 29 |
| 水頭症 | 1 | 1 |
| 変性疾患等 | 20 | 0 |
| その他 | 18 | 3 |
地域連携医療機関の先生方、スタッフの皆様には平素より大変お世話になり御礼申し上げます。また当院の地域連携運営にご協力いただき、多くの患者さんのご紹介と病状の安定した患者さんの御加療を継続していただきありがとうございます。
当科は常勤の脳神経外科医2名で診療にあたっております。
脳血管障害急性期ではくも膜下出血に対するクリッピング術、コイル塞栓術を、日中では脳梗塞に対するtPA投与による超急性期治療、脳内出血に対しては開頭術や定位的血腫吸引術などを行っております。脳卒中の慢性期に対しては、MRIやMRA、エコーを用いた
形態的評価を早急に施行し先生方の診療に役立つように努力しております。また病状が安定いたしますと地域の先生方に御加療の継続をお願いしております。
頭部外傷などに対しては救急部と連携して積極的に救急患者を受け入れております。特に高齢者の転倒外傷が多く発生しており、経過観察中に慢性硬膜下血腫の発症が懸念される方もあり1~2か月の経過観察を要しますので当院へご相談ください。
頭痛の患者さんは二次性頭痛の除外が必須であるために詳細な病歴聴取と神経診察、神経放射線学的検査を可能な限り当日に施行しております。
受診される方は片頭痛をはじめとした一次性頭痛の患者さんが増えておりますが、経過の長い方では薬物乱用頭痛を合併している方も多くなっております。このような場合には片頭痛の予防薬投与や患者教育を行っておりますのでご紹介いただければ幸甚であります。
また歩行障害や認知症が次第に進行する特発性正常圧水頭症の診断治療も行っております。3~4日の検査入院で高次脳機能検査、髄液排出テスト、MRIやSPECTを用いた検査などを行い、治療方針を決定しております。
今後とも地域医療に貢献してまいりますのでよろしくお願い申し上げます。
スタッフ紹介
| 氏名 | 役職 | 専門分野 | 所属学会・資格など |
|---|---|---|---|
| 秋山 英之 | 副部長 |
脳腫瘍、脳血管障害 |
医学博士 日本脳神経外科学会(専門医) 日本小児神経外科学会(認定医) 日本脳神経外科コングレス 日本脳卒中学会 等 |
| 甲田 将章 | 非常勤医師 |
- | - |